Eye Diseases
Information Regarding Common Eye Diseases and Treatment
The doctors at Prince William Eye Associates are specially trained to diagnose, treat and monitor all non-surgical diseases of the eyes, and will work together with the area surgeons to comanage your surgical eye needs.
Here are a few of the diseases and disorders currently treated by our doctors at Prince William Eye Associates. This is in addition to any emergency visits related to trauma, vision loss or infections.
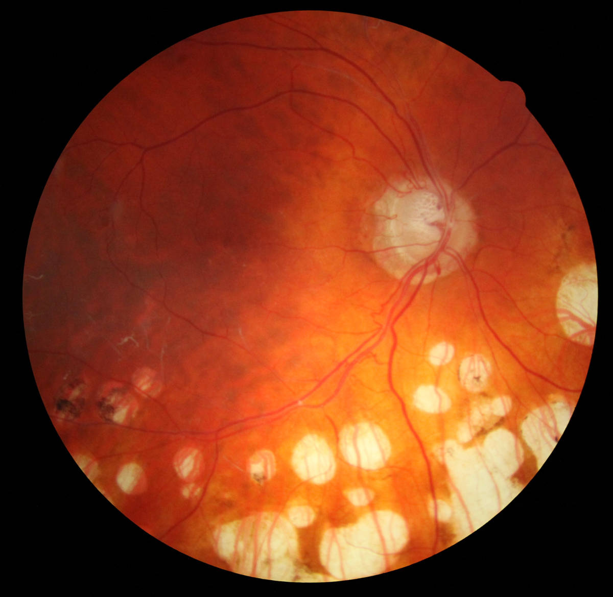
Glaucoma
Glaucoma is a group of eye disorders that lead to progressive damage to the optic nerve. It is characterized by loss of nerve tissue that results in vision loss.
Diagnosis
- Patient history to determine any symptoms the patient is experiencing and if there are any general health problems and family history that may be contributing to the problem.
- Visual acuity measurements to determine if vision is being affected.
- Tonometry to measure the pressure inside the eye to detect increased risk factors for glaucoma.
- Pachymetry to measure corneal thickness. People with thinner corneas are at an increased risk of developing glaucoma.
- Visual field testing, also called perimetry, to check if the field of vision has been affected by glaucoma. This test measures your side (peripheral) vision and central vision by either determining the dimmest amount of light that can be detected in various locations of vision, or by determining sensitivity to targets other than light.
- Evaluation of the retina of the eye, which may include photographs or scans of the optic nerve, to monitor any changes over time.
- Supplemental testing, which may include gonioscopy. This procedure offers a view of the angle anatomy, which is where eye fluid drainage occurs. Serial tonometry is another possible test. This procedure acquires several pressure measurements over time, looking for changes in the eye pressure throughout the day. In addition, devices can be used to measure nerve fiber thickness and to look for tissue loss on specific areas of the nerve fiber layer.
- Glaucoma treatment is aimed at reducing pressure in the eye. Regular use of prescription eye drops are the most common and often the first treatment. Some cases may require systemic medications, laser treatment, or other surgery. While there is not yet a cure for glaucoma, early diagnosis and continuing treatment can preserve eyesight.
Cataracts
It is important to rule out any other possible causes of blurry vision before diagnosing cataracts. When removal is needed, our doctors will guide our patients to select the best intraocular lens to meet their visual needs. Options such as toric (to correct astigmatism), progressive lenses (allow for distance and near vision), monovision ( one eye for far and one eye for near), or both distance vision are discussed thoroughly and communicated to the surgical ophthalmologist on behalf of the patient.
Post operative visits are done at Prince William Eye following the cataract surgery to make the process easier for our patients and to reduce trips to the surgeons office.
Macular Degeneration
Macular degeneration, or age-related macular degeneration (AMD), is a leading cause of vision loss in Americans 60 and older. It is a disease that destroys your sharp, central vision. You need central vision to see objects clearly and to do tasks such as reading and driving.
AMD affects the macula, the part of the eye that allows you to see fine detail. It does not hurt, but it causes cells in the macula to die. There are two types: wet and dry. Wet AMD happens when abnormal blood vessels grow under the macula. These new blood vessels often leak blood and fluid. Wet AMD damages the macula quickly. Blurred vision is a common early symptom. Dry AMD happens when the light-sensitive cells in the macula slowly break down. You gradually lose your central vision. A common early symptom is that straight lines appear crooked.
Regular comprehensive eye exams can detect macular degeneration before the disease causes vision loss. Treatment can slow vision loss. Monitoring for signs of wet AMD, recommendation of reading aids, vitamin therapy, and prompt retinal referrals for anti VEGF treatments are done by our doctors at Prince William Eye Associates.
Dry Eyes
Causes & risk factors
- Inadequate amount of tears. Tears are produced by several glands in and around the eyelids. Tear production tends to diminish with age, with various medical conditions or as a side effect of certain medicines. Environmental conditions, such as wind and dry climates, can also decrease tear volume due to increased tear evaporation. When the normal amount of tear production decreases or tears evaporate too quickly from the eyes, symptoms of dry eye can develop.
- Poor quality of tears. Tears are made up of three layers: oil, water, and mucus. Each component protects and nourishes the front surface of the eye. A smooth oil layer helps prevent evaporation of the water layer, while the mucin layer spreads the tears evenly over the surface of the eye. If the tears evaporate too quickly or do not spread evenly over the cornea due to deficiencies with any of the three tear layers, dry eye symptoms can develop.
Dry eyes can develop for many reasons, including
- Age. Dry eyes are a part of the natural aging process. The majority of people over age 65 experience some symptoms of dry eyes.
- Gender. Women are more likely to develop dry eyes due to hormonal changes caused by pregnancy, the use of oral contraceptives and menopause.
- Medications. Certain medicines, including antihistamines, decongestants, blood pressure medications, and antidepressants, can reduce tear production.
- Medical conditions. People with rheumatoid arthritis, diabetes, and thyroid problems are more likely to have symptoms of dry eyes. Also, problems with inflammation of the eyelids (blepharitis), inflammation of the surfaces of the eye, or the inward or outward turning of eyelids can cause dry eyes to develop.
- Environmental conditions. Exposure to smoke, wind and dry climates can increase tear evaporation resulting in dry eye symptoms. Failure to blink regularly, such as when staring at a computer screen for long periods of time, can also contribute to drying of the eyes.
- Other factors. Long-term use of contact lenses can be a factor in the development of dry eyes. Refractive eye surgeries, such as LASIK, can decrease tear production and contribute to dry eyes.
Advanced dry eyes may damage the front surface of the eye and impair vision.
Symptoms
People with dry eyes may experience irritated, gritty, scratchy or burning eyes; a feeling of something in their eyes; excess watering; and blurred vision. Symptoms include:
- Redness.
- stinging, scratching, or burning sensations.
- Light Sensitivity.
- Watery eyes.
- Stringy mucus near the eye.
- Blurry Vision.
Diagnosis
- Patient history to determine the patient’s symptoms and to note any general health problems, medications or environmental factors that may be contributing to the dry eye problem.
- External examination of the eye, including lid structure and blink dynamics.
- Evaluation of the eyelids and cornea using bright light and magnification.
- Measurement of the quantity and quality of tears for any abnormalities. Special dyes may be put in the eyes to better observe tear flow and to highlight any changes to the outer surface of the eye caused by insufficient tears.
With the information obtained from testing, a doctor of optometry can determine if you have dry eyes and advise you on treatment options.
Treatment
- Adding tears. Mild cases of dry eyes can often be managed using over-the-counter artificial tear solutions. These can be used as often as needed to supplement natural tear production. Preservative-free artificial tear solutions are recommended because they contain fewer additives, which can further irritate the eyes. People with dry eyes that don’t respond to artificial tears alone will need to take additional steps to treat their dry eyes.
- Conserving tears. Keeping natural tears in the eyes longer can reduce the symptoms of dry eyes. This can be done by blocking the tear ducts through which the tears normally drain. The tear ducts can be blocked with tiny silicone or gel-like plugs that can be removed if needed. Or a surgical procedure can permanently close the tear ducts. In either case, the goal is to keep the available tears in the eye longer to reduce problems related to dry eyes.


- Increasing tear production. A doctor of optometry can prescribe eye drops that increase tear production. Taking an omega-3 fatty acid nutritional supplement may also help.
- Treating the contributing eyelid or ocular surface inflammation. A doctor of optometry might recommend prescription eye drops or ointments, warm compresses and lid massage, or eyelid cleaners to help decrease inflammation around the surface of the eyes.
Prevention
You can take the following steps to reduce symptoms of dry eyes:
- Remember to blink regularly when reading or staring at a computer screen for long periods of time.
- Increase the humidity in the air at work and at home.
- Wear sunglasses outdoors, particularly those with wraparound frames, to reduce exposure to drying winds and the sun.
- Nutritional supplements containing essential fatty acids may help decrease dry eye symptoms in some people. Ask your doctor if taking dietary supplements could help your dry eye problems.
- Avoiding becoming dehydrated by drinking plenty of water (8 to 10 glasses) each day.
- Avoid air getting blown in your eyes by directing car heaters away from your face.
- Avoid environments that are drier than normal, such as deserts, airplanes, and places at high altitudes.
The doctors at Prince William Eye Associates are experts in diagnosing and treating even the most severe forms of dry eyes. Make your appointment today.
What is Demodex?
Demodex are tiny mites that can live on your eyelashes and eyelids. If left untreated they can multiply and become an infestation. Demodex is common in males than females, is seen in all age groups becoming more prevalent with advancing age and sometimes related to rosacea of the face.
What are the symptoms and how is Demodex diagnosed?
People with Demodex might experience burning or irritated eyes with itchy and red eyelid margins. Often times the patient is unaware of the problem other than they experience a persistent crusting at the base of the eyelashes that is not responding to normal eyelid scrubbing treatments. Your eye doctor can examine your eyes, eyelids and eyelashes to diagnose Demodex in the office.
How is Demodex treated?
In our office, we can offer methods to help manage Demodex buildup.
- BlephEx- This method allows doctors to mechanically remove debris and Demodex mites dramatically. The demodex mites create a biofilm that is like a waxy coating at the base of the lashes that is removed only with this rotating brush.
- High concentration tea tree oil- here the doctor uses a medical grade cleanser to coat the lashes and kill exposed demodex prior to manually removal of the exposed demodex.
- Patients require treatments at regular intervals (1, 3 6 months) to get infestation under control.
- The patients need to maintain prescribed lid scrubs nightly to avoid relapse. Many times our doctors will recommend specific shampoo or facial wash to further control the population of demodex on the face. Animals should be kept off all shared sleeping areas and all bedding should be washed in hot temperatures and pillows replaced.
What happens if I don’t treat it?
If left untreated, patients can experience exacerbation of dry eye symptoms, brittle eyelashes and lash loss, more frequent styes and chalazia, meibomian gland dysfunction, and ocular rosacea.